
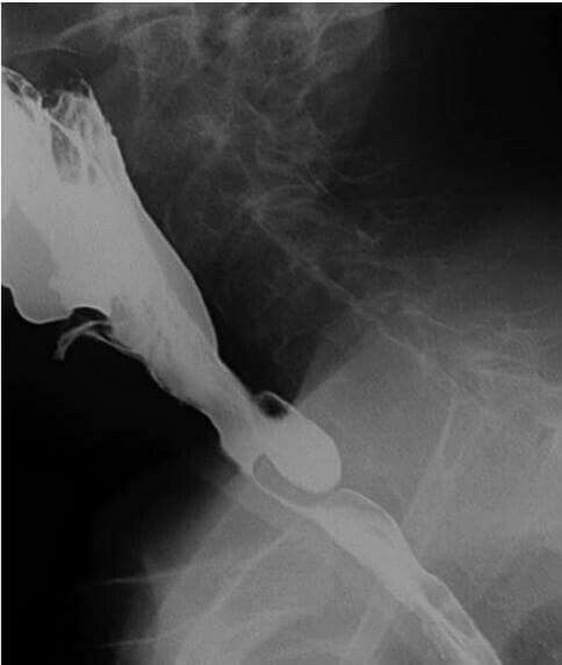
The above shown is a fluoroscopic image of hypopharyngeal pouch A midesophageal diverticulum is caused by inflammation located in the chest cavity outside the esophagus that pulls on theesophagus or is caused by esophagealmotility disorders. When a diverticulum increases in size, the following symptoms may appear: Dysphagia (difficulty swallowing) Regurgitation (return of undigested food back into the mouth) Sense of a lump in the neck. Halitosis (smelly breath) due to stagnant food in the pouch.đ¤đ¤đ¤ Cough, especially at night.Hoarseness (voice change) Sometimes pneumonia toođ¤
Ya..and zenker's diverticulum is normally occurred in older.