MEDizzy
MEDizzy
Dr Obaid Alademi
Dr Obaid Alademiover 6 years ago
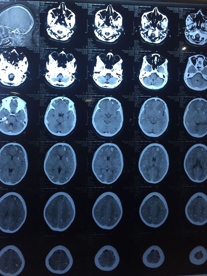
Multiple brain haematoma

Multiple brain haematoma

24 years old female was pregnant in 16 weeks had severe watery diarrhea then pass in acute renal impairment had tow sets of HD Then she passed in coma She aborted before the HD suddenly What are the DD of this case

16
Other commentsSign in to post comments. You don't have an account? Sign up now!
over 6 years ago

What caused the brain hematomas?? Was this a cancer of some type?

over 6 years ago

Immune thrombocytopenic purpura, hemolytic uremic syndrome

Recent MCQs















Show more MCQs

Recent flashcard sets















Show more flashcards