
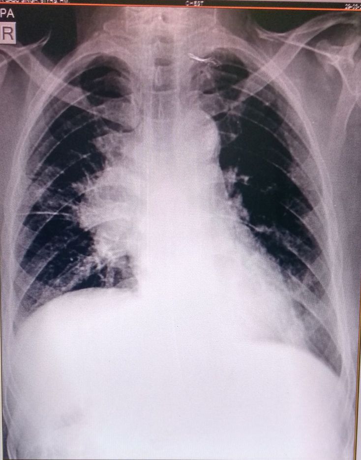
Superior vena cava syndrome (SVCS), is a group of symptoms caused by obstruction of the superior vena cava (a short, wide vessel carrying circulating blood into the heart). More than 80% of cases of SVCS are caused by compression of the vessel wall by malignant tumors in the mediastinum, the vast majority of which are either lung canceror non-Hodgkin's lymphoma. Non-malignant causes include benign mediastinal tumors, aortic aneurysm, infections, thrombosis due to central venous catheter placement, and fibrosing mediastinitis. 🎯Signs and symptoms Shortness of breath is the most common symptom, followed by face or arm swelling. Following are frequent symptoms: ➡️Difficulty breathing ➡️Headache ➡️Facial swelling ➡️Venous distention in the neck and distended veins in the upper chest and arms ➡️Upper limb edema ➡️Lightheadedness ➡️Cough ➡️Edema (swelling) of the neck, called the collar of Stokes ➡️Pemberton's sign
My mom had this she went to Dr he sent her for chest CT and when she was leaving hospital the stopped her and told her she was being admitted right away. Scared the daylights out of her. She didn't know what was happening. She was living in Boston with her bf at the time once she had diagnosis of small cell carcinoma we took her to Florida with my aunts. They asked that she be sent thete so they can get her in treatment right away lime the next day. So that was Feb 2012. She moved in wirh me man 2013 after it left in July and came bck in September. She passed away April 5 2013. I had her for the last 4 months. She refused any more treatments when it went to her brain. She was a hilarious person those last few months. She was like a private detective lurking around corners at all hours of day and night. I miss my mom very much. However she not in pain anymore. She's making a home for us girls in heaven sitting by Jesus. Asking him all the questions she had while on earth that she didn't find the answer too Sorry I didn't mean for this to be this long.
I am sorry for your loss. Personal experiences can help us understand patients better.