MEDizzy
MEDizzy
Dr L-M
Dr L-Malmost 8 years ago
Radiology

Radiology

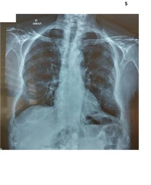
Is this a healthy or unhealthy person?

7
Other commentsSign in to post comments. You don't have an account? Sign up now!
almost 8 years ago

Unhealthy?

almost 8 years ago

Unhealthy

almost 8 years ago

Yes definitely; but what’s the diagnosis?

Related posts
No related posts found

Recent MCQs















Show more MCQs

Recent flashcard sets















Show more flashcards