
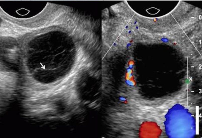
An adnexal mass is a lump in tissue of the adnexa of uterus (structures closely related structurally and functionally to the uterus such as the ovaries, fallopian tubes, or any of the surrounding connective tissue).Adnexal masses can be benign or cancerous, and they can be categorized as simple or complex.