Feed
Library
Learning
Discuss
Leaderboard
Journal
Sign in
Login
Sign up
Sign in
Feed
Library
Learning
Discuss
Leaderboard
Journal
D
Dr. Uranus Barekzai
almost 7 years ago
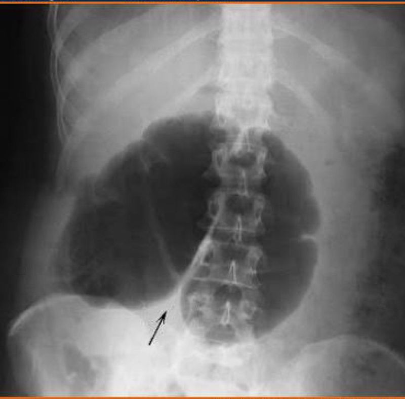
Cecal volvulus
Medical
Abdomen
Radiography
Volvulus
6
0
3
Other comments
Sign in
to post comments. You don't have an account?
Sign up now!
Related posts
Hemodynamic stimuli&nonhemodynamic stimuli
Bone Marrow Transplant Procedure, Uses and Benefits
Antidiabetic Drugs IV
Medical Symptoms I
Preparation for USMLE
Cellulitis, gangrene
Chest X-Rays
Suturing
Acne
Recent MCQs
Show more MCQs
Recent flashcard sets
Show more flashcards
Feed
Learn
Add
Search
Discuss