
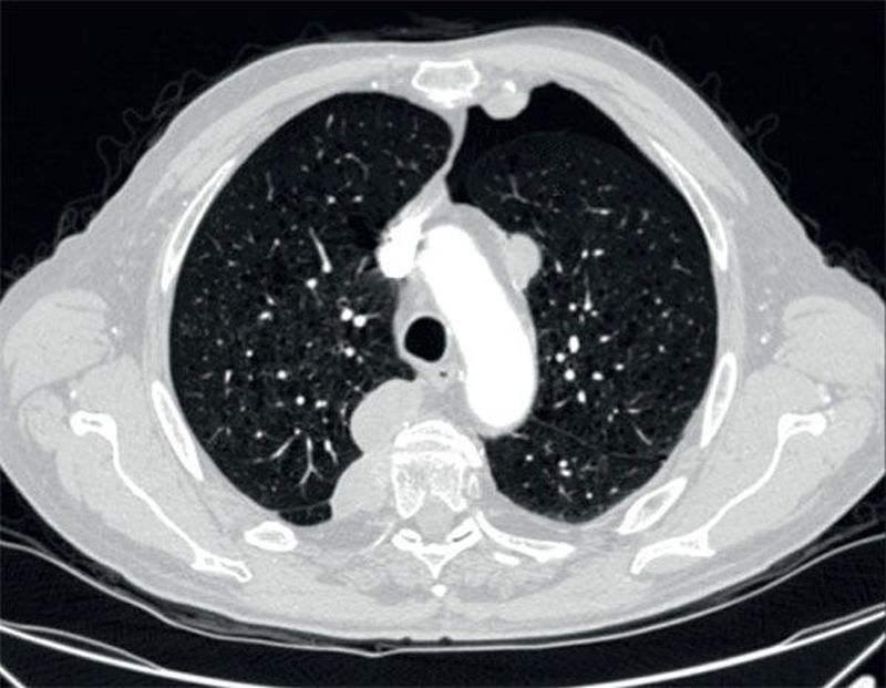
A 71-year-old man with known lung metastases from renal cell carcinoma under cabozantinib therapy presented with worsening of dyspnoea. The CT scan revealed a left apical pneumothorax. What was the cause of the pneumothorax? A)Progression of the lung metastases B)A rapid and significant shrinkage of the lung lesions C)Spontaneous rupture of air blisters D)Severe interstitial lung disease due to cabozantinib