
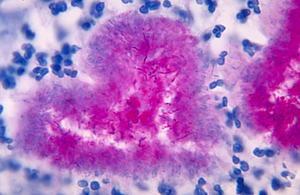
Nocardiosis is a disease caused by bacteria found in soil and water. It can affect the lungs, brain, and skin. It is most common in people with weakened immune systems who have difficulty fighting off infections. People who have weakened immune systems should wear shoes as well as clothing covering the skin, open wounds, and cuts when they are working in the soil, which could help prevent skin infections. This photomicrograph shows a tissue specimen processed using the Fite-Faraco staining method. It reveals the presence of Gram-positive, acid-fast, Nocardia brasiliensis bacteria, the cause of nocardiosis.