
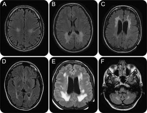
Krabbe disease, also known as globoid cell leukodystrophy or galactosylceramide lipidosis, is an autosomal-recessive sphingolipidosis caused by deficient activity of the lysosomal hydrolase galactosylceramide beta-galactosidase (GALC). GALC degrades galactosylceramide, a major component of myelin, and other terminal beta-galactose–containing sphingolipids, including psychosine (galactosylsphingosine). Increased psychosine levels are believed to lead to widespread destruction of oligodendroglia in the CNS and to subsequent demyelination.