MEDizzy
MEDizzy
Harikaleeshvaran
Harikaleeshvaranabout 8 years ago

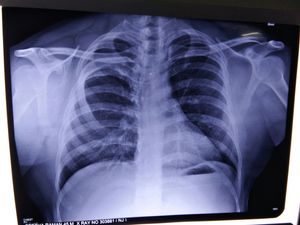
###:Look very carefully to find the abnormality.... ### if clue needed comment below...

7
Other commentsSign in to post comments. You don't have an account? Sign up now!
about 8 years ago

Clue?

about 8 years ago

Bony deformity.... Closely look at the ribs...

about 8 years ago

Dislocated rib?

about 8 years ago

I can see the rib on right side is not normal. Can u tell the answer?

about 8 years ago

Noo...

about 8 years ago

Offset clavicle has something to do With it? Maybe

about 8 years ago

Clavicle is fine man....

Related posts
No related posts found

Recent MCQs















Show more MCQs

Recent flashcard sets















Show more flashcards