Feed
Library
Learning
Discuss
Leaderboard
Journal
Sign in
Login
Sign up
Sign in
Feed
Library
Learning
Discuss
Leaderboard
Journal
P
PM
about 7 years ago
Incredible lifes 🙂
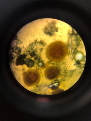
The microscopic view of Aspergillus Flavus
Medicine
Medlove
Fungi
530
2
0
Other comments
Sign in
to post comments. You don't have an account?
Sign up now!
Dr.Amar ❤️
almost 5 years ago
Hey are you a NEU student??
0
Reply
P
PM
almost 5 years ago
Yeah :))
0
Reply
Related posts
What????
Best Anabolic Steroids Natural Muscle Boosters: A 2025 Review
Lidocaine HCl
Emergency Medications
Breastfeeding and Medications II
Neurofibromatosis
Women’s Reproductive Health & Daily Wellness
Gelatine Sculpt | Official Website
BurnSlim Official | Support Your Weight Management Journey
Recent MCQs
Show more MCQs
Recent flashcard sets
Show more flashcards
Feed
Learn
Add
Search
Discuss