MEDizzy
MEDizzy
Shruti
Shrutialmost 7 years ago
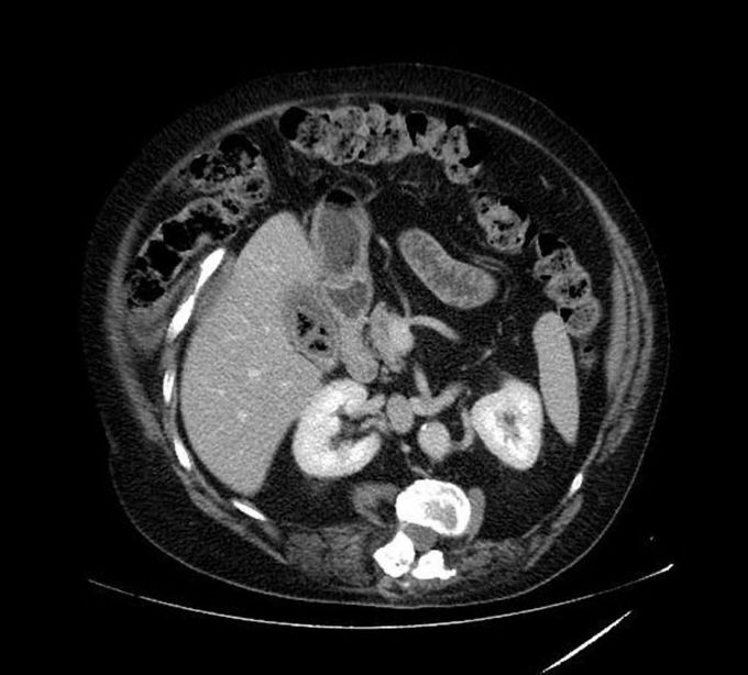
Whats your dx??

Whats your dx??

555
Top rated comment
almost 7 years ago

What a mess! Nothing is clear

almost 7 years ago

Is it clear now??

almost 7 years ago

It describes gas or fluid filled in calculus in gallbladder

Other commentsSign in to post comments. You don't have an account? Sign up now!
almost 7 years ago

Need contrast study

almost 7 years ago

Right kidney tumor? 🤔

almost 7 years ago

Bowel perforation?

almost 7 years ago

No...

almost 7 years ago

Ascites?

almost 7 years ago

No

almost 7 years ago

Emphysematous Cholecystitis

Related posts
No related posts found

Recent MCQs

‌
‌

‌
‌

‌
‌

‌
‌

‌
‌
Show more MCQs

Recent flashcard sets

‌
‌

‌
‌

‌
‌

‌
‌

‌
‌
Show more flashcards