
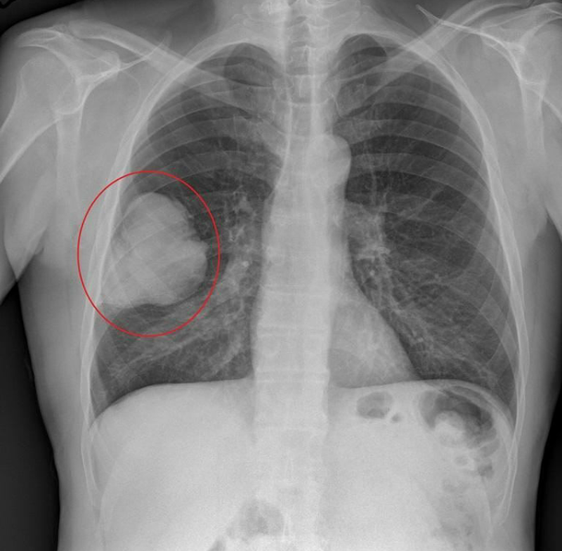
Lung cancer typically doesn't cause signs and symptoms in its earliest stages.Signs and symptoms of lung cancer typically occur only when the disease is advanced. Signs and symptoms of lung cancer may include: A new cough that doesn't go away Coughing up blood, even a small amount Shortness of breath Chest pain Hoarseness Losing weight without trying Bone pain Headache