Feed
Library
Learning
Discuss
Leaderboard
Journal
Sign in
Login
Sign up
Sign in
Feed
Library
Learning
Discuss
Leaderboard
Journal
REHAN MD
about 8 years ago
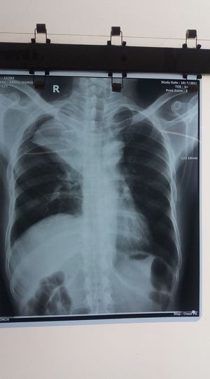
Diagnosis pals????
3
3
0
Top rated comment
FP
Freddy Paul
about 8 years ago
Pneumonia of the right lung upper lobe
1
Reply
REHAN MD
about 8 years ago
Yes but also with a collapse
0
Other comments
Sign in
to post comments. You don't have an account?
Sign up now!
FP
Freddy Paul
about 8 years ago
Thank you sir for the info
0
Reply
Related posts
No related posts found
Recent MCQs
Show more MCQs
Recent flashcard sets
Show more flashcards
Feed
Learn
Add
Search
Discuss