MEDizzy
MEDizzy
Dr.rasoul
Dr.rasoulalmost 7 years ago
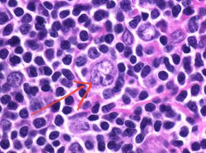
What kind of cell you can see? In which disease we can find it?

What kind of cell you can see? In which disease we can find it?

1. Popcorn cell _ Hairy cell leukemia 2. Popcorn cell _ Lymphocyte predominance 3. Lacunar cell _ Nodular sclerosis 4. Lacunar cell _ Lymphocyte predominance

20
Other commentsSign in to post comments. You don't have an account? Sign up now!
almost 7 years ago

2

almost 7 years ago

1

almost 7 years ago

1

almost 7 years ago

1.Popcorn cell - Hairy cell leukemia

almost 7 years ago

2 .popcorn cell - lymphocyte predominance

almost 7 years ago

3

Recent MCQs















Show more MCQs

Recent flashcard sets















Show more flashcards