
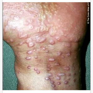
Molluscum contagiosum is a relatively common viral infection of the skin that results in round, firm, painless bumps ranging in size from a pinhead to a pencil eraser. If the bumps are scratched or injured, the infection can spread to surrounding skin. Though most common in children, molluscum contagiosum can affect adults as well — particularly those with weakened immune systems. In adults with an otherwise normal immune system, molluscum contagiosum involving the genitals is considered a sexually transmitted infection.
I post this shashikala before month ago 😜 But as a question 😛
Are its ok usme kya .. 😅 just bol rha hu .. btw congo ur now on no 1 😇