MEDizzy
MEDizzy
Alaa Mansour
Alaa Mansouralmost 7 years ago
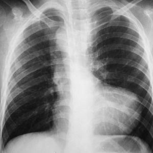
Boot Shaped Heart (Teratology of fallot). TOF is the most common cyanotic congenital heart disorder. It has four cardinal features, Right ventricular hypertrophy, ventricular septal defect, obstriction of right ventricular outflow, and aortic overriding. Plain X-Ray shows boot shaped heart with upturned heart apex. Treatment is by creating a shunt.

Boot Shaped Heart (Teratology of fallot). TOF is the most common cyanotic congenital heart disorder. It has four cardinal features, Right ventricular hypertrophy, ventricular septal defect, obstriction of right ventricular outflow, and aortic overriding. Plain X-Ray shows boot shaped heart with upturned heart apex. Treatment is by creating a shunt.

6
Other commentsSign in to post comments. You don't have an account? Sign up now!

Recent MCQs















Show more MCQs

Recent flashcard sets















Show more flashcards