Feed
Library
Learning
Discuss
Leaderboard
Journal
Sign in
Login
Sign up
Sign in
Feed
Library
Learning
Discuss
Leaderboard
Journal
Mohammed Sayed
almost 7 years ago
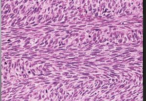
Fibrosarcoma
Medicine
Pathology
Study
Fibrosarcoma
2
1
2
Top rated comment
Noura
almost 4 years ago
((Herring bone pattern )) Fibrosarcoma
0
Reply
Other comments
Sign in
to post comments. You don't have an account?
Sign up now!
Related posts
Scurvy
Hyperparathyroidism
Hyperparathyroidism
Hyperparathyroidism
Hyperparathyroidism
Pagets disease
Paget’s disease.
Neurofibromatosis
Haemophilia
Periapical Pathologies
Recent MCQs
Show more MCQs
Recent flashcard sets
Show more flashcards
Feed
Learn
Add
Search
Discuss