
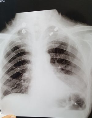
Middle aged pt , with chest pain ,productive cough , and hemoptysis . ECG is normal.
Chronic bronchitis with Pleural effusion? I'm sorry, I'm not sure with my answer
Thanks for all . True answer is left lower lobar collapse. (#The_sail_sign.).. of lt.lower lobe collapse the x-ray chest showed: All the classical features of a tight left lower lobe collapse: 1. Left retrocardiac density shaped like a sail - the 'sail sign' 2. Volume loss in the hemithorax. 3. Inferiorly displaced 'hidden' left hilum. This is due to lung cancer ....