MEDizzy
MEDizzy
AC
Andres Cabreraalmost 7 years ago
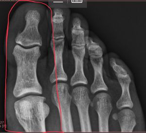
Injured right foot 1st Proximal Phalanx

Injured right foot 1st Proximal Phalanx

Do you guys see any abnormality? Patient complaints of pain after accidentally kicking concrete, swollen and unable to bend. Maybe a metartasophalangeal articular capsule of hallux injury/dislocation?

551
Other commentsSign in to post comments. You don't have an account? Sign up now!

Recent MCQs















Show more MCQs

Recent flashcard sets















Show more flashcards