MEDizzy
MEDizzy
Other commentsSign in to post comments. You don't have an account? Sign up now!
almost 7 years ago

Granulomatous inflamm

almost 7 years ago

Granuloma

almost 7 years ago

Granulomatous inflammation

almost 7 years ago

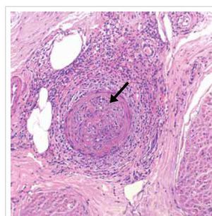
Microscopy of sural nerve biopsy showing epineurial extravascular eosinophils and vasculitis associated with axonal degeneration; vague granuloma is formed in the vascular wall (arrow) [this is H&E stain]

almost 7 years ago

Chronic granulomatous inflammation

Recent MCQs















Show more MCQs

Recent flashcard sets















Show more flashcards