Feed
Library
Learning
Discuss
Leaderboard
Journal
Sign in
Login
Sign up
Sign in
Feed
Library
Learning
Discuss
Leaderboard
Journal
Dr Vijay Sharma
almost 7 years ago
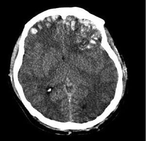
Traumatic brain injury
Medicine
Mbbs
Medicalstudent
Trauma
Bhms
12
0
3
Other comments
Sign in
to post comments. You don't have an account?
Sign up now!
Related posts
Emergency Medications
LumiLean Dragons Den UK |Capsules, Reviews & Cost!
Breastfeeding and Medications II
Avulsion
Types of Dental Trauma
Preparation for USMLE
Traumatic exposure of pulp
Traumatic ulcer
Neurofibromatosis
Recent MCQs
Show more MCQs
Recent flashcard sets
Show more flashcards
Feed
Learn
Add
Search
Discuss