
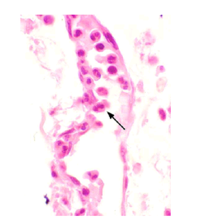
A 63-year-old homeless man is brought to the emergency department 1 hour after police found him unresponsive. His respirations are 30/min. Crackles are heard over the left upper and the entire right lung fields. Despite appropriate lifesaving measures, he dies. A photomicrograph of a section of the right lung obtained at autopsy is shown. Which of the following mediators is the most likely cause of the position of the cell indicated by the arrow? (A) Bradykinin (B) C5a (C) Histamine (D) Nitrous oxide (E) Prostaglandins