Feed
Library
Learning
Discuss
Leaderboard
Journal
Sign in
Login
Sign up
Sign in
Feed
Library
Learning
Discuss
Leaderboard
Journal
Asawer Abbas
almost 7 years ago
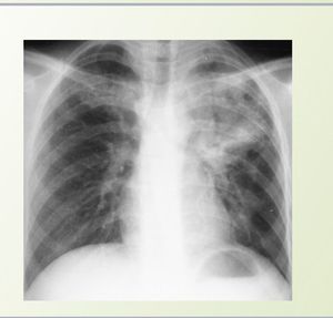
Diagnosis???
Respiratory
Cardio
Medicin
5
3
0
Other comments
Sign in
to post comments. You don't have an account?
Sign up now!
Dayyan
almost 7 years ago
Pneumonia
1
Reply
Shubhi Singh
almost 7 years ago
Infection in left lung
1
Reply
Asawer Abbas
almost 7 years ago
No,it is TB
0
Related posts
Respiratory membrane
Respiratory membrane
Respiratory center
Brainstem inspiratory area
Common causes of dry cough
Respiratory Terminologies I
Respiratory Terminologies II
Respiratory Terminologies V
Respiratory Terminologies VI
Ace Your Respiratory Examination OSCE - With This Clinical Skills Master Class - Dr Gill
Recent MCQs
Show more MCQs
Recent flashcard sets
Show more flashcards
Feed
Learn
Add
Search
Discuss