MEDizzy
MEDizzy
GA
Gaurav Aroraalmost 7 years ago
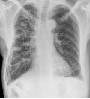
Diagnosis?

Diagnosis?

29
Top rated comment
almost 7 years ago

Answer plz....

almost 7 years ago

Heart failure with pulmonary edema

Other commentsSign in to post comments. You don't have an account? Sign up now!
almost 7 years ago

Scoliosis?

almost 7 years ago

Pleural effusion? Pneumonia??

almost 7 years ago

Miliary TB

almost 7 years ago

Pulmonary edema

almost 7 years ago

It's bronchiectasis

almost 7 years ago

Emphysema

Recent MCQs















Show more MCQs

Recent flashcard sets















Show more flashcards