MEDizzy
MEDizzy
Sabika
Sabikaabout 7 years ago
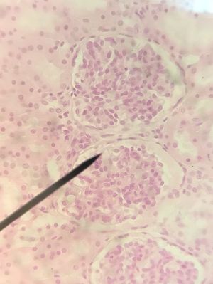
Glamorous Glomerulus

Glamorous Glomerulus

Ehhh it’s not the best photo in the world. However, we were lucky enough to have small samples of cut up pieces of the Bowman’s capsule to examine. This is one close up, these guys are prettyyyy important when it comes to filtering our blood.

19
Top rated comment
about 7 years ago

Thats a very awesome way to answer it 😅

Other commentsSign in to post comments. You don't have an account? Sign up now!
about 7 years ago

How is this glamorous?

about 7 years ago

bruh it’s glamorous cuz it’s a glomerulus 😂 plus it’s pink

Recent MCQs















Show more MCQs

Recent flashcard sets















Show more flashcards