MEDizzy
MEDizzy
Dr Obaid Alademi
Dr Obaid Alademialmost 7 years ago
Animal bite

Animal bite

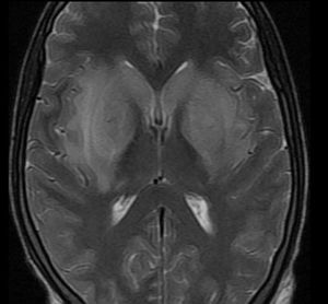
30 y old young man in coma GCS 7/15 febrile with convulsions and irritability post animal bites Is the MRI help you to reach the diagnosis?!

21
Top rated comment
almost 7 years ago

Rabies ??

Other commentsSign in to post comments. You don't have an account? Sign up now!
almost 7 years ago

I don't know😶 nice post.

almost 7 years ago

I don't see one before

almost 7 years ago

hello doctor can you take a look at the previous post? I would like to know what your opinion is

almost 7 years ago

Always do CT scan in those patients who has GCS less than 13

almost 7 years ago

Tetanus ?

Recent MCQs

‌
‌

‌
‌

‌
‌

‌
‌

‌
‌
Show more MCQs

Recent flashcard sets

‌
‌

‌
‌

‌
‌

‌
‌

‌
‌
Show more flashcards