Feed
Library
Learning
Discuss
Leaderboard
Journal
Sign in
Login
Sign up
Sign in
Feed
Library
Learning
Discuss
Leaderboard
Journal
Dr Vijay Sharma
about 7 years ago
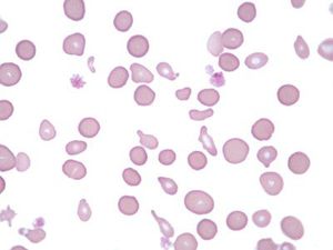
What is this anaemia
Mbbs
Pathology
Medicalstudent
Mbbs2ndyear
Studytips
10
1
2
Top rated comment
S
Shubhi
about 7 years ago
Poikilocytosis:tear shaped (dacrocyte),boat shaped,microspherocytes visible......what is the answer?
1
Reply
Other comments
Sign in
to post comments. You don't have an account?
Sign up now!
Related posts
Hyperparathyroidism
Hyperparathyroidism
Hyperparathyroidism
Hyperparathyroidism
Pagets disease
Paget’s disease.
Haemophilia
Periapical Pathologies
Hemangioma
Erythroplakia
Recent MCQs
Show more MCQs
Recent flashcard sets
Show more flashcards
Feed
Learn
Add
Search
Discuss