Feed
Library
Learning
Discuss
Leaderboard
Journal
Sign in
Login
Sign up
Sign in
Feed
Library
Learning
Discuss
Leaderboard
Journal
Dr. Fatemeh Kourkinejad
almost 7 years ago
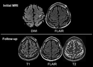
MRI differences
Brain
Mri
Imaging
Dwi
3
0
4
Other comments
Sign in
to post comments. You don't have an account?
Sign up now!
Related posts
How to Read MRI IV
How to Read MRI V
How to Read MRI VII
How to Read MRI VIII
How to Read MRI IX
How to Read MRI X
Best Probiotics for Women Over 50: A Critical Discussion
Medulla Oblongata Anatomy
Brain Blood Supply
Recent MCQs
Show more MCQs
Recent flashcard sets
Show more flashcards
Feed
Learn
Add
Search
Discuss