MEDizzy
MEDizzy
Dr. Pratik Jasani
Dr. Pratik Jasanialmost 8 years ago
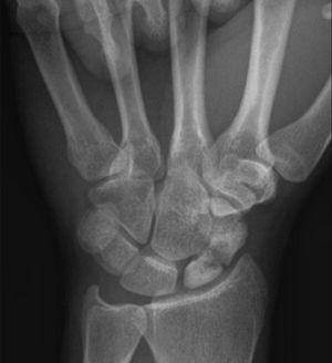
Which bone is fractured in x ray ??

Which bone is fractured in x ray ??

8
Other commentsSign in to post comments. You don't have an account? Sign up now!
about 8 years ago

First Metacarpal

about 8 years ago

Which particular bone ?

about 8 years ago

Trapezium

about 8 years ago

Nope

about 8 years ago

Scaphoid

about 8 years ago

Yeah thts correct .. most common fracture in metacarpal bone 👍👍

about 8 years ago

Os trapezoideum

about 8 years ago

Index finger(metacarpal bone proximal part)

about 8 years ago

Yeah 👍

about 8 years ago

Yeah you're right I didn't focus l have just seen as it was palmer view of the hand.

about 8 years ago

Scaphoid

about 8 years ago

Mai toh paresaan ho gyi...dyan nhi deti hu esliye

about 8 years ago

Shashikala tera one more diwana meri post par comment karta he ki shashikala is not replying me plz give me her no 😂😂

Related posts
No related posts found

Recent MCQs















Show more MCQs

Recent flashcard sets















Show more flashcards