MEDizzy
MEDizzy
Zunaira saleh
Zunaira saleh9 months ago
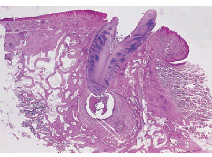
A developing radicular cyst.

A developing radicular cyst.

An epithelium-lined cavity has formed in this large periapical granuloma. There is a thick fi brous capsule infi ltrated by chronic infl ammatory cells. The alveolar bone has been resorbed and remodelled to accommodate the slowly expanding swelling.

1
Other commentsSign in to post comments. You don't have an account? Sign up now!

Recent MCQs















Show more MCQs

Recent flashcard sets















Show more flashcards