MEDizzy
MEDizzy
Zunaira saleh
Zunaira saleh10 months ago
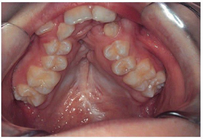
Distorted and narrow maxilla

Distorted and narrow maxilla

Collapsed maxilla resulting from traditional surgical repair of cleft palate. Scarring and growth disturbance produce a distorted narrow maxilla. (By kind permission of Mrs E Horrocks.)

0
Other commentsSign in to post comments. You don't have an account? Sign up now!

Recent MCQs















Show more MCQs

Recent flashcard sets















Show more flashcards