MEDizzy
MEDizzy
Zunaira saleh
Zunaira saleh10 months ago
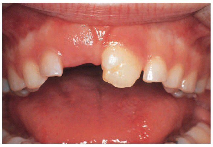
Localised dental disturbance caused by prolonged intubation during tooth development.

Localised dental disturbance caused by prolonged intubation during tooth development.

The upper left central incisor shows enamel pitting incisally and the upper right central incisor is deformed and has failed to erupt.

0
Other commentsSign in to post comments. You don't have an account? Sign up now!

Recent MCQs















Show more MCQs

Recent flashcard sets















Show more flashcards