
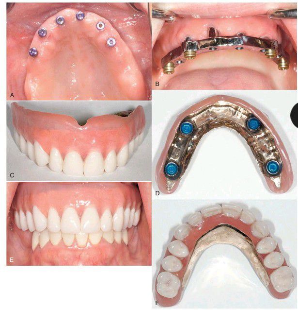
Treatment of the edentulous maxilla with all-implant–supported overdenture. (A) Maxilla with six implants. (B) Milled titanium bar with four locator attachments. (C–E) Maxillary overdenture with open palate and internal casting that fits accurately to the milled bar. (F) Final result.