Feed
Library
Learning
Discuss
Leaderboard
Journal
Sign in
Login
Sign up
Sign in
Feed
Library
Learning
Discuss
Leaderboard
Journal
Zunaira saleh
about 1 year ago
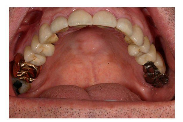
Fixed dental prosthesis
View of metal-ceramic fixed partial dental prostheses. (Courtesy of Dr. Charles Mark
Dental
Prosthesis
Fixed
0
0
0
Other comments
Sign in
to post comments. You don't have an account?
Sign up now!
Related posts
Hutchinson’s teeth.
Progression of dental caries
Progression of dental caries
Dental plaque
Patch testing for dental materials.
Vertucci Classification
Periapical Pathologies
Pulpotomy
Dental Mock-up
Dental Bridges
Recent MCQs
Show more MCQs
Recent flashcard sets
Show more flashcards
Feed
Learn
Add
Search
Discuss