MEDizzy
MEDizzy
Hysteroscopy Newsletter
Hysteroscopy Newsletter about 8 years ago
MEDizzy

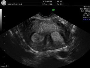
Uterine septa of patients with recurrent pregnancy loss are more vascularized and contain more muscular tissue.

1
Top rated comment
almost 8 years ago

Can you check out my post and help me out?

Other commentsSign in to post comments. You don't have an account? Sign up now!

Recent MCQs















Show more MCQs

Recent flashcard sets















Show more flashcards