Feed
Library
Learning
Discuss
Leaderboard
Journal
Sign in
Login
Sign up
Sign in
Feed
Library
Learning
Discuss
Leaderboard
Journal
Zunaira saleh
about 1 year ago
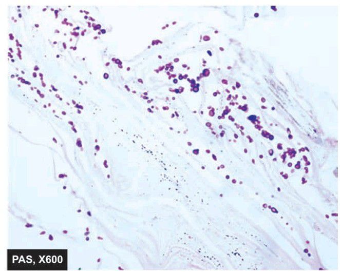
Tinea capitis in the skin.
The stratum corneum around the hair follicle shows presence of numerous arthrospores and hyphae.
Skin
Tinea
Capitis
0
0
0
Other comments
Sign in
to post comments. You don't have an account?
Sign up now!
Related posts
Irritant contact dermatitis
What do you think
Fingertip eczema
What do you think???
Which disease is??
Think about it????????
Look at this picture???
What????
Drug Safety Alerts- Skin
Skin Abscess
Recent MCQs
Show more MCQs
Recent flashcard sets
Show more flashcards
Feed
Learn
Add
Search
Discuss