MEDizzy
MEDizzy
Zunaira saleh
Zunaira salehabout 1 year ago
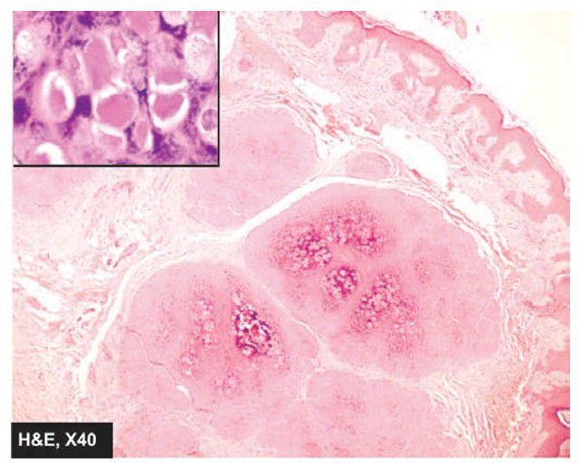
Molluscum contagiosum.

Molluscum contagiosum.

The epidermal layers show numerous molluscum bodies which are intracytoplasmic inclusions. Inset shows close-up view of molluscum bodies.

0
Other commentsSign in to post comments. You don't have an account? Sign up now!

Recent MCQs















Show more MCQs

Recent flashcard sets















Show more flashcards