MEDizzy
MEDizzy
Zunaira saleh
Zunaira salehabout 1 year ago
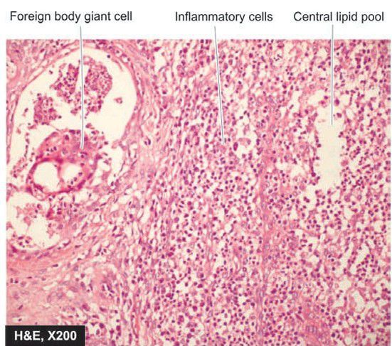
Chalazion of the eyelid.

Chalazion of the eyelid.

There is presence of a lipogranuloma having central pool of fat and surrounded by mixed inflammatory cells and foreign body type multinucleated giant cells.

0
Other commentsSign in to post comments. You don't have an account? Sign up now!

Recent MCQs















Show more MCQs

Recent flashcard sets















Show more flashcards