MEDizzy
MEDizzy
Zunaira saleh
Zunaira salehabout 1 year ago
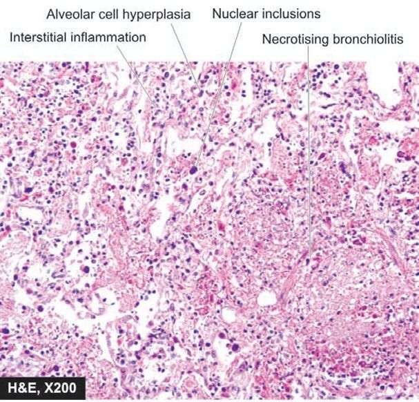
Interstitial pneumonitis (viral pneumonia).

Interstitial pneumonitis (viral pneumonia).

Microscopic appearance of interstitial pneumonitis (viral pneumonia). There is necrotising bronchiolitis, reactive hyperplasia of alveolar epithelial cells, some having nuclear inclusions, and there is interstitial inflammation.

0
Other commentsSign in to post comments. You don't have an account? Sign up now!

Recent MCQs















Show more MCQs

Recent flashcard sets















Show more flashcards