MEDizzy
MEDizzy
Zunaira saleh
Zunaira salehabout 1 year ago
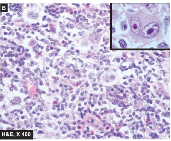
Mixed cellularity type

Mixed cellularity type

There is admixture of mature lymphocytes, plasma cells, neutrophils and eosinophils and classic RS cells in the centre of the field.

0
Other commentsSign in to post comments. You don't have an account? Sign up now!

Recent MCQs















Show more MCQs

Recent flashcard sets















Show more flashcards