Feed
Library
Learning
Discuss
Leaderboard
Journal
Sign in
Login
Sign up
Sign in
Feed
Library
Learning
Discuss
Leaderboard
Journal
Zunaira saleh
about 1 year ago
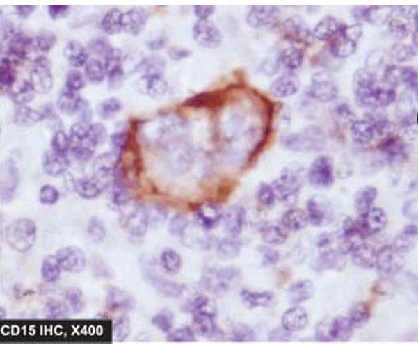
Reed sternberg cell
RS cells showing positive immunostaining for CD15, a B-cell marker.
Cells
Sternberg
Reed
0
0
0
Other comments
Sign in
to post comments. You don't have an account?
Sign up now!
Related posts
Blast Cells
Myeloid cells
Myeloma
Tumor cells
Hallmarks of cell aging: Classical hallmarks of aging cells include increased levels of reactive oxygen species, DNA damage, accumulation of dysfunctional organelles, oxidized proteins and lipids. These all contribute to a progressive decline in the normal physiological function of the cell and to the onset of age-related conditions.
Endocrine Pancreas cells
Hair cells
Leydig cells
Differentiation pathways of mesenchymal cells
Recent MCQs
Show more MCQs
Recent flashcard sets
Show more flashcards
Feed
Learn
Add
Search
Discuss