
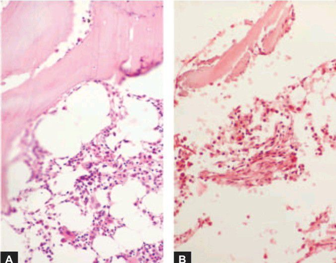
Bone marrow trephine biopsy in aplastic anaemia contrasted against normal cellular marrow. A, normal marrow biopsy shows about 50% fatty spaces and about 50% is haematopoietic marrow which contains a heterogeneous mixture of myeloid, erythroid and lymphoid cells. B, In aplastic anaemia, the biopsy shows suppression of myeloid and erythroid cells and replacement of haematopoetic elements by fat. There are scanty foci of cellular components composed chiefly of lymphoid cells.