MEDizzy
MEDizzy
Zunaira saleh
Zunaira salehabout 1 year ago
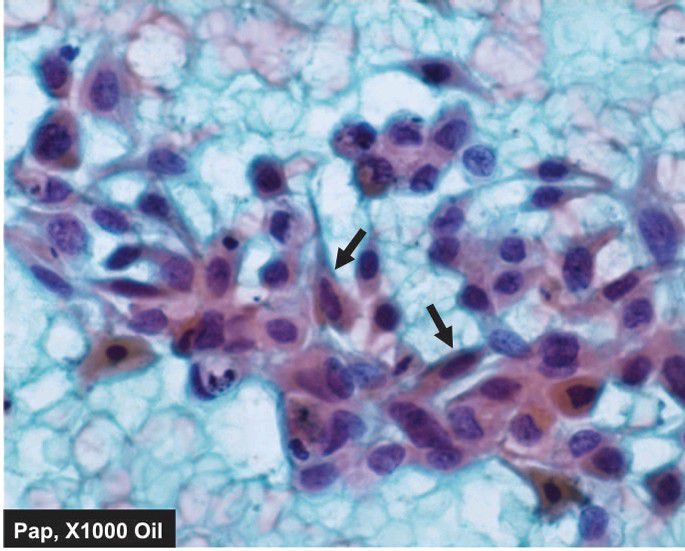
Invasive squamous cell carcinoma

Invasive squamous cell carcinoma

. The malignant epithelial cells have anisonucleosis with irregular nuclear chromatin with prominent nucleoli. A few fibre cells and caudate cells are also seen (arrow). The background shows abundant haemorrhage and some necrotic debris.

0
Other commentsSign in to post comments. You don't have an account? Sign up now!

Recent MCQs















Show more MCQs

Recent flashcard sets















Show more flashcards