Feed
Library
Learning
Discuss
Leaderboard
Journal
Sign in
Login
Sign up
Sign in
Feed
Library
Learning
Discuss
Leaderboard
Journal
Zunaira saleh
over 1 year ago
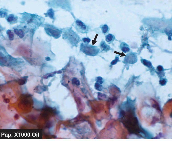
Trichomonas smear
Trichomonas in inflammatory smear (arrow).
Pathology
Smear
Trichimonas
0
0
0
Other comments
Sign in
to post comments. You don't have an account?
Sign up now!
Related posts
Hyperparathyroidism
Hyperparathyroidism
Hyperparathyroidism
Pagets disease
Paget’s disease.
Haemophilia
Periapical Pathologies
Hemangioma
Erythroplakia
BurnSlim Official | Support Your Weight Management Journey
Recent MCQs
Show more MCQs
Recent flashcard sets
Show more flashcards
Feed
Learn
Add
Search
Discuss