MEDizzy
MEDizzy
Zunaira saleh
Zunaira salehabout 1 year ago
M.leprae

M.leprae

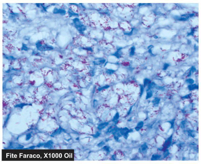
Lepra bacilli in LL seen in Fite-Faraco stain as globi and cigarettes-in-a-pack appearance inside the foam macrophages

0
Other commentsSign in to post comments. You don't have an account? Sign up now!

Recent MCQs















Show more MCQs

Recent flashcard sets















Show more flashcards