MEDizzy
MEDizzy
Zunaira saleh
Zunaira salehabout 1 year ago
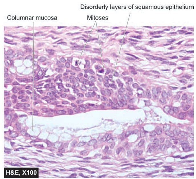
Uterine cervical dysplasia

Uterine cervical dysplasia

High grade lesion. It shows increased number of layers of squamous epithelium having marked cytologic atypia including mitose

0
Other commentsSign in to post comments. You don't have an account? Sign up now!

Recent MCQs















Show more MCQs

Recent flashcard sets















Show more flashcards