MEDizzy
MEDizzy
Zunaira saleh
Zunaira salehabout 1 year ago
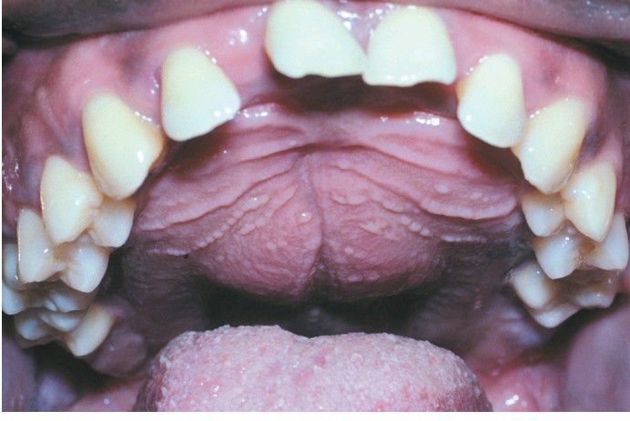
Hyperparathyroidism

Hyperparathyroidism

Palatal enlargement is characteristic of the renal osteodystrophy associated with secondary hyperparathyroidism. 

0
Other commentsSign in to post comments. You don't have an account? Sign up now!

Recent MCQs















Show more MCQs

Recent flashcard sets















Show more flashcards