MEDizzy
MEDizzy
Zunaira saleh
Zunaira salehabout 1 year ago
Epidermolysis Bullosa.

Epidermolysis Bullosa.

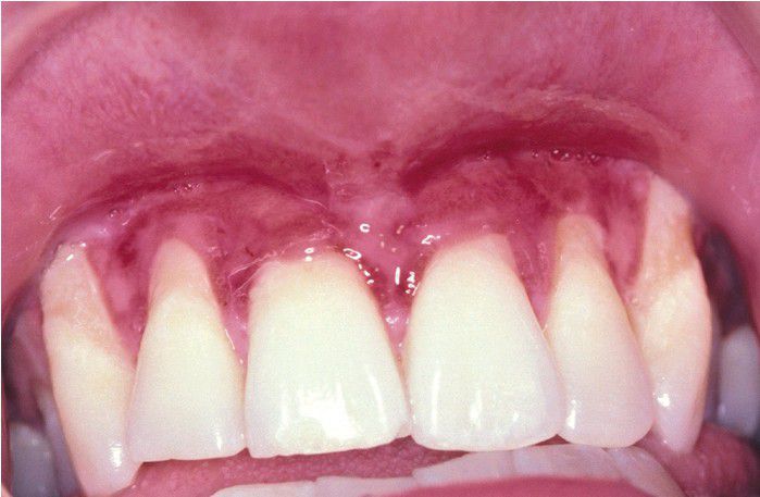
A teenaged boy, affected by dominant dystrophic epidermolysis bullosa, shows a reduced depth of the labial vestibule caused by repeated mucosal tearing and healing with scarring. 

0
Other commentsSign in to post comments. You don't have an account? Sign up now!

Recent MCQs















Show more MCQs

Recent flashcard sets















Show more flashcards