Feed
Library
Learning
Discuss
Leaderboard
Journal
Sign in
Login
Sign up
Sign in
Feed
Library
Learning
Discuss
Leaderboard
Journal
Zunaira saleh
about 1 year ago
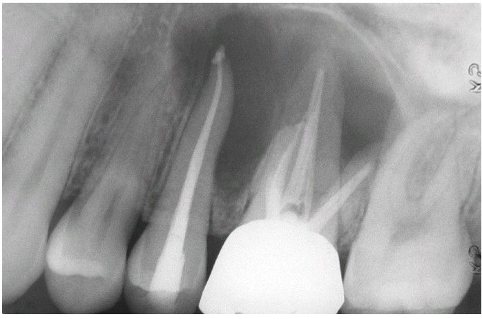
Granular Cell Odontogenic Tumor.
Radiolucent lesion involving the apical area of endodontically treated maxillary teeth.
Tumor
Odontogenic
Granular
0
0
0
Other comments
Sign in
to post comments. You don't have an account?
Sign up now!
Related posts
Odontogenic infections
Warthin's Tumor I
Warthin tumor
Trigeminal Neuralgia Vs Odontogenic Pain
Keratinising odontogenic cyst.
Adenomatoid odontogenic tumour
Clear cell odontogenic carcinoma
Odontogenic myxoma of the mandible.
CALCIFYING EPITHELIAL ODONTOGENIC TUMOUR
Melanotic neuroectodermal tumour of infancy.
Recent MCQs
Show more MCQs
Recent flashcard sets
Show more flashcards
Feed
Learn
Add
Search
Discuss